MedCity INVEST 2017
22 May 2017
We don’t have years, anymore, to make a decision. We have months. Or in some cases, weeks.
~ Bruce Brandes, CEO of Lucro
The MedCity INVEST conference gathers physicians, investors, engineers, and entrepreneurs with a shared interest: Everyone is striving to improve healthcare. The event is produced by MedCity News. Investors arrive in search of their next ROI engine. Startup CEOs with eclectic backgrounds pitch bold ideas. The conversations are rich.
Barbarians at the Gate
Arundhati Parmar, VP and Editorial Director of MedCity News, opened the conference with an observation about “barbarians at the gate.” Barbarians are people from outside the medical profession with ideas for improvement.
Fortunately, medical pros have figured out how to transform the barbarians into allies. Some physicians partner with electrical and mechanical engineers to create devices. Others join forces with software developers to build apps. Thinking further outside the box, financial experts have been invited to the table to come up with creative ways to pay for the new ideas. Yes, collaboration produces awesome results.
For example…
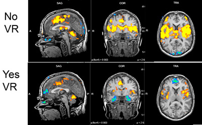
Using Virtual Reality to Reduce Pain
Drugs make the pain go away. But drugs can also have nasty side-effects like nausea and addiction.
What if there was a way to treat pain without drugs? Enter virtual reality.
David Rhew is a physician and the Chief Medical Officer at Samsung. During his keynote at MedCity INVEST, he shared the following MRI images to show how patients using VR have less pain than patients who are not using VR. In the images, the yellow areas indicate pain. More yellow means more pain.

Here’s why VR works. Pain requires conscious attention. Conscious attention focuses on pain like a spotlight. But VR immerses patients into a separate world that stimulates the senses, drawing attention away from the pain. Patients feel better without (or with reduced) medication, and without the unpleasant side-effects that drugs produce.
Samsung partners with Applied VR to make this solution work.
History + Research = Great Ideas
Panel discussions are usually boring, but that wasn’t the case at this event. During the What’s Hot in Biopharma Investing panel, an MD oncologist, a VC, and a PhD researcher shared the history behind microbiome research.
The microbiome is the community of bacteria that all humans carry around inside of our bodies. These living organisms help our digestive and immune systems. Over 1,700 years ago, Chinese physicians discovered how to treat some illnesses by altering the make-up of the microbiome. The records of ancient wisdom have been helpful to present-day researchers.
Data and Digital Health
As physicians and researchers learn more, they discover ways to treat patients as individuals, not as one data point in a monolith. At the same time, gathering data helps researchers to spot trends and identify new treatments. Researchers are immersing themselves in Big Data while simultaneously exploring the data set of one.
Creating Products that Make Sense
Product development in healthcare starts with some fundamental answers, similar to other industries. Key questions to answer for any problem we want to solve:
- Who really cares about this problem? How do you know?
- Have you spoken to the person who has this problem?
- Do you really understand their challenges?
- Scalability: What will it take for you to take this to more customers?
- Durability: Do the customers return? A lot of solutions don’t stick.
Dozens of healthcare startups pitched at the conference. Simultaneous pitches made it impossible to catch all of them. But all of the pitches I saw did a great job of answering the fundamental questions. Investor time was not wasted.
Some of the companies that pitched…
-
BrainCheck. Founded by Yael Katz who holds a PhD in neuroscience. She observed that concussions are a $50 billion/year problem and decided to build software (including a mobile app) that patients can use to measure their own brain health. Competitive advantages: It’s easy to use and it provides relevent information to the doctor.
-
Tissue Analytics. Co-Founder and Chief Medical Officer Gabriel Brat holds an MD and a Masters in Public Health. With Tissue Analytics, nurses can measure and track the size of a wound by using the camera on a mobile phone. Photos can be shared with physicians as needed. Further, since the app gathers data on a variety of wounds, the company uses Big Data to spot trends which helps physicians plan treatment regimens.
The Hallway Track
Serendipity always plays a positive role at events like this. You never know who you might meet in the hallway between sessions. Here are a few hallway conversations that I enjoyed:
-
3R Cardio. CEO Eric Caron made it very clear that he was at the conference to raise $500k for his company. The amount was printed on his badge. Later, he shared that his approach had led to several potentially fruitful conversations.
-
Ilerasoft. CEO Kwaku Owusu and his team improve safety by helping hospitals to handle FDA equipment recalls in a timely way.
-
Isomark. Infections that are detected earlier are easier to deal with. CEO Joe Kremer and his team use breath analysis to detect infections. This non-intrusive method enables earlier detection and treatment.
-
Doctella. Patients feel better when they have some control over the treatment process. Doctella enables patients to be more active in their own care. Smart checklists within the app keeps patients active and informed.
Conclusion
MedCity INVEST is a learning-rich gathering of motivated minds united in a common quest: To make healthcare better. This event was a great use of time. I look forward to next year.

